ワイヤーの色についてブログ(記事)│チーム医療による総合的な治療で全身の健康づくりを行なう金沢の矯正歯科
医療法人社団Pierre Oge監修 金沢・大桑歯科の矯正専門サイト
診療のご案内 TREATMENT
ブログ BLOG
2025.11.07
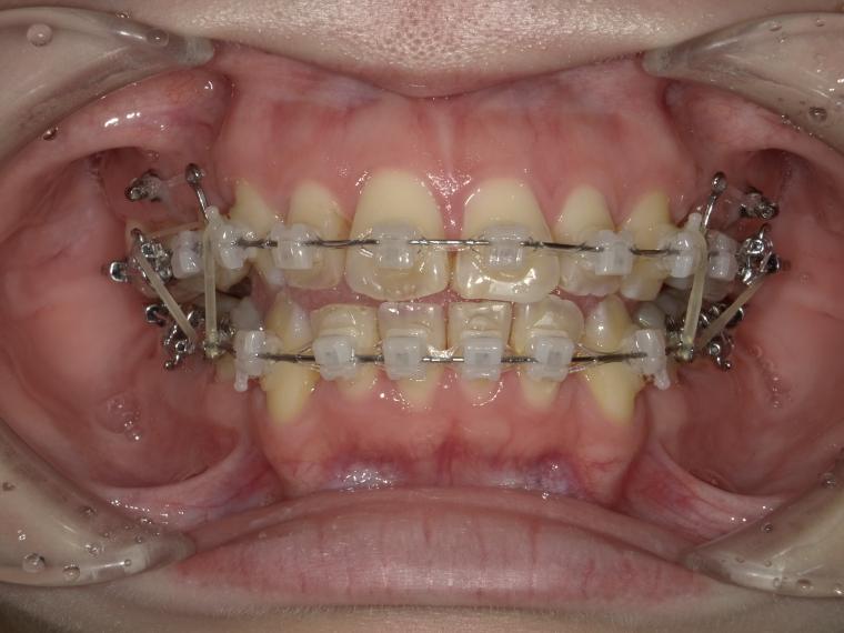
当院はメタルワイヤー(シルバー)を採用しています。
ホワイトコーティングされたワイヤーやマウスピース矯正と比べると目立ちやすいです。